Prosthodontics

Prosthodontics

Full mouth rehabilitation and dental prosthesis

The specialty of dentistry that focuses on the reconstruction and replacement of missing teeth is known as Prosthodontics. Prosthodontics treatment aims to improve masticatory function and also the appearance of your smile, focusing on the shape and colour of your teeth. Different materials are used to achieve these outcomes, mainly ceramics and composites.

The specialty of dentistry that focuses on the reconstruction and replacement of missing teeth is known as Prosthodontics. Prosthodontics treatment aims to improve masticatory function and also the appearance of your smile, focusing on the shape and colour of your teeth. Different materials are used to achieve these outcomes, mainly ceramics and composites.

Video Consultation
Prosthodontics Booklet

View online

Arrow
Smiling Man with Good Teeth

When would I need prosthetic treatment?

  • I want to improve my smile
  • I want to have whiter teeth
  • I do not like the shape of my teeth
  • I have broken or missing teeth

In many instances, prosthetics interacts with other specialties, such as periodontics, endodontics and orthodontics. Worn teeth can be reconstructed to the original size and shape. Missing teeth can be replaced with fixed or removable prostheses.

Treatment Options

  • VeneersMore
  • WhiteningMore
  • Overlays and CrownsMore
  • DenturesMore

Veneers

Awaiting Image

Thin custom-made porcelain/composite shells that are bonded to the teeth to improve their shape and appearance. They are durable and long lasting and extremely versatile.

Whitening

Awaiting Image

A minimally invasive and safe solution for tooth discolouration, providing an improvement in colour and also the luminosity of the teeth. At Norfolk Dental Specialists, we offer a highly professional teeth whitening service tailored to ensure a safe treatment with impressive results.

Overlays and Crowns

Awaiting Image

Broken down teeth can be reconstructed with overlays and/or crowns, to achieve their original shape and strength, improving also the ability to chew comfortably.

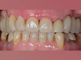
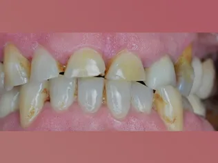
Before and After

Before
Before
Slider

Dentures

Awaiting Image

Also known as false teeth, removable dentures replace missing teeth and supporting gum tissues. Full dentures replace all of the teeth in one arch. Partial dentures replace a number of missing teeth. Partial dentures made from cobalt chromium (metal) frameworks are excellent for patients with:

  • Failing heavily restored dentition
  • Wobbly teeth from gum disease.
  • Occlusal parafunction (bruxism)
  • Traumatic overbites (where the teeth bite into the gum, making the gum sore).

Treatment Options

Awaiting Image

Thin custom-made porcelain/composite shells that are bonded to the teeth to improve their shape and appearance. They are durable and long lasting and extremely versatile.

Awaiting Image

A minimally invasive and safe solution for tooth discolouration, providing an improvement in colour and also the luminosity of the teeth. At Norfolk Dental Specialists, we offer a highly professional teeth whitening service tailored to ensure a safe treatment with impressive results.

Awaiting Image

Broken down teeth can be reconstructed with overlays and/or crowns, to achieve their original shape and strength, improving also the ability to chew comfortably.

Before and After

Before
Before
Slider
Awaiting Image

Also known as false teeth, removable dentures replace missing teeth and supporting gum tissues. Full dentures replace all of the teeth in one arch. Partial dentures replace a number of missing teeth. Partial dentures made from cobalt chromium (metal) frameworks are excellent for patients with:

  • Failing heavily restored dentition
  • Wobbly teeth from gum disease.
  • Occlusal parafunction (bruxism)
  • Traumatic overbites (where the teeth bite into the gum, making the gum sore).

Prosthetics Costs

Our fee structure has been carefully considered, and reflects our high level of specialist care, advanced equipment and consistently high results. We believe in being honest about our fees, and we will always discuss and explain them clearly. After your initial assessment we will send you a letter detailing your unique treatment plan, including any likely costs. If you would like to spread the cost of your treatment, we can offer a monthly interest-free payment plan over a six-month period.

See all our treatment costs

Fees

Prosthodontic Assessment (includes x-rays) £255
Prosthodontic Review £150
Articulated Study Models from £286
Whitening £700 - £1,100
Fillings £230 - £445
Crown/Overlay/Veneer £1,650 - £1,830 (per unit)
Conventional Bridge £1,380 (per unit)
Adhesive Bridge £1,620 (for one tooth replacement)
Upper & Lower Complete Dentures from £4,644
Single Full Upper or Lower Denture from £2,646
Implant Supported Crown £1,510
Implant Retained Bridge from £3,200
Hard Occlusal Splint £1,100

Accrediting bodies

Accrediting bodies